専門外来

- 専門外来
- 長引く咳・喘息外来
長引く咳・喘息外来
長引くせき・ぜんそくでお困りの方へ

「風邪が治ったはずなのに、せきだけ続いている」「夜中にせき込んで眠れない」「季節の変わり目になると胸が苦しくなる」
このような症状に心当たりはありませんか?
長引くせきの原因は風邪だけでなく、ぜんそくやアレルギー、蓄膿症、胃酸の逆流、風邪などの感染症の影響など、さまざまな病気が関係していることがあります。
よくある原因と症状の特徴
長引く咳の原因は、呼吸器だけでなく、アレルギーや胃腸が原因のこともあります。
「咳だけだし」「風邪が長引いてるのかな」と放置してしまうと、治りにくくなってしまいますので、心配なときはお早めにご相談ください。
気管支喘息
気道の慢性的な炎症により、咳や息苦しさが起こります。アレルギーが関係していることも多いですが、適切な治療で症状をコントロールできます。
咳喘息
喘鳴(ヒューヒュー音)がなく、乾いた咳が特徴的です。咳で悩まれる方に一番多いです。放置すると気管支喘息に進行する可能性があります。
アレルギー性咳嗽
ダニ、花粉、ペットの毛などのアレルゲンが原因となる咳です。アレルギー検査で原因を特定できます。
COPD(慢性閉塞性肺疾患)
主に喫煙が原因で、気道が狭くなり呼吸困難や咳が続きます。早期発見・治療が重要です。
後鼻漏
鼻水が喉に流れ込むことで起こる咳です。副鼻腔炎(蓄膿症)やアレルギー性鼻炎が原因となることがあります。痰がらみがある咳や、喉のいがいがや、咳払い感が繰り返されることが特徴で、横(臥床)になると悪化することが特徴です。必要に応じて、耳鼻科にご連携し治療を行っていきます。
逆流性食道炎
胃酸が食道に逆流し、喉や気道を刺激することで咳が起こります。夜間や食後に悪化することが特徴です。
当院で行える検査・治療
検査
アレルギー検査
血液検査で、花粉やダニ、ハウスダスト、食物などのアレルギーや、好酸球数などの原因を幅広く調べられます(view39項目検査、白血球分類検査など)
呼気一酸化窒素濃度測定
呼気中の一酸化窒素を測定し、気道の炎症やぜんそくの診断に用います。
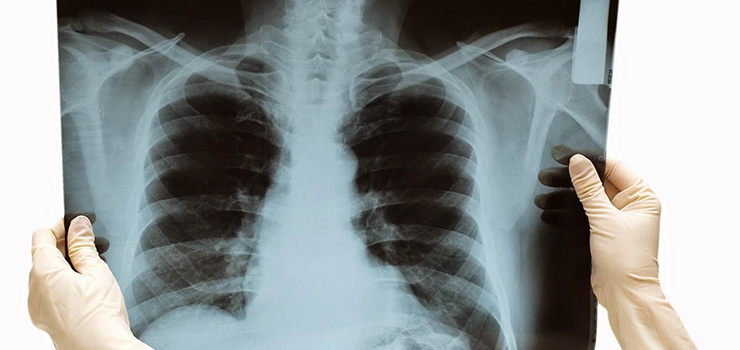
胸部画像検査
長引く咳の原因に肺の病気が隠れていないか画像検査をします。肺炎やCOPD、結核や肺がんなどの病気がないか調べます。
治療方法
吸入薬や内服薬で、咳が起きにくい状態を維持します。
吸入薬は使用方法で効果が変わるため、薬剤師とも連携し実演を交えて丁寧に指導します。
一人ひとりの生活スタイルに合わせた治療スケジュールを提案します。
当院の特徴

問診・聴診
喫煙歴、咳の時間帯や回数、咳の特徴、これまでの喘息・肺炎歴など、長引く咳の原因となる可能性を聞いていきます。原因となる特有の肺の音がないか聴診します。

呼気一酸化窒素濃度測定
体に負担なく、吐いた息の一酸化窒素の濃度を測定します。気道の炎症レベルをみることがき、咳喘息の状態や治療効果を確認していくことができます。

胸部画像検査
胸部の中に長引く咳の原因となる病気が隠れていないか画像検査で確認をします。肺炎やCOPD、結核や肺がんなどの病気がないかを調べます。
このような方はご相談ください
- 2週間以上せきが続いている
- 夜中や明け方にせきで目が覚める
- 運動すると息苦しさや咳がでたり、喘鳴(ヒューヒュー)症状が出る
- 市販薬を使ってもなかなか改善しない
- 季節の変わり目に悪化する
- 耳鼻科や他の病院へ行ったがせきがよくならない
受診を迷っている方へ

「忙しくて受診を後回しにしている」「せきだけで病院に行っていいのかな」
そんな風に思われる方も少なくありません。
しかし、長引くせきは体のサインかもしれません。
「こんなことならもっと早く受診していれば良かった」とおっしゃる患者さんも多いです。
早めの受診で、快適な日常生活と安心した睡眠を取り戻しましょう。